Home
Știri
Health
Știi că merită
Diete & Sport
Noi ce mâncăm azi
Medicină de top by Sanador
Înapoi la articol
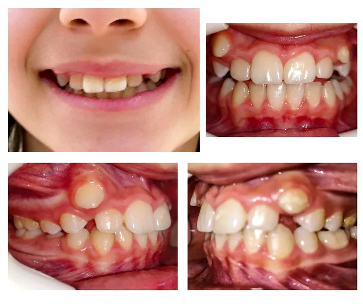
Ectopiile dentare sunt relativ frecvente, dar cauzele și efectele lor pot fi complexe.
Poza
2
/ 6
Caninii ectopici (caninii de vampir): ce sunt, cum îi recunoști și care sunt opțiunile de tratament
Alte galerii foto
DentalHealth
Transpoziția dentară la copii: ce înseamnă, de ce apare și când e nevoie de tratament?
Medicină alternativă – remedii naturale
Remediul natural pentru imunitate folosit de Ramona Bădescu. Ce mănâncă în fiecare dimineață
Sănătate
Din lupta cu cancerul, în sala de fitness: povestea Sorinei, femeia care și-a transformat ...
Sănătate
Când dinții nu mai stau la locul lor: de ce uneori ortodonția e esențială înainte de ...
Recomandari video
Video
„Legea grătarului” îi poate lăsa fără bani pe români de 1 Mai. Unde ai voie, de fapt, ...
Video
Colegiul Medicilor investighează medicul estetician din București, după ce o pacientă venită ...
Video
Chirurgia minim invazivă și microinvazivă
Știri
Aproape jumătate dintre români spun că renunță la vacanțe. Hainele și ieșirile în ...
Cautare
Introdu cuvântul căutat și apasă ENTER
Calculator
Calorii
Calculator
Greutate
Calculator
Nutritional
Alimente
Analize medicale de laborator
Boli / Afecțiuni
Dicționar medical
Plante medicinale
Produse Gemoterapice și Fitoterapice
Prospecte Medicamente OTC - medicamente fără rețetă
Semne și simptome
Semnificația numelui
Vaccinare și vaccinuri
*Pentru a căuta intr-o bază de date te rugăm să dai click pe numele bazei și apoi să folosesti boxul de căutare
Inchide
Știri
Știi că merită
Back to School
Știri sănătate
Vedete
Health
Sănătate
Medicină alternativă
Diete și Sport
Dietă și nutriție
Detoxifiere
Rețete culinare
Lifestyle
Beauty
Noi ce mâncăm azi
Medicină de top by Sanador
Video
Alternative fără fum
Îngrijire & frumusețe
Familie și copii
Relații și cuplu
Boli si afectiuni
Semne si simptome
Dictionar medical
Medicamente
Plante medicinale
Produse Gemoterapice și Fitoterapice
Alimente
Analize medicale
Vaccinuri
Căutare