fluorizare

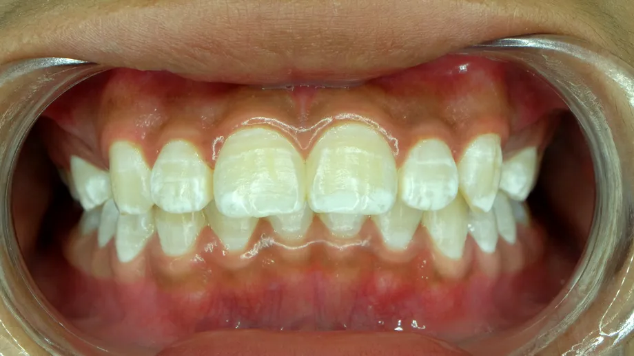
Fluorizarea dinților, cea mai bună metodă de a trata sensibilitatea dentară. În ce constă și în cât timp apar rezultatele

Fluorizarea dinților, cea mai bună metodă de a trata sensibilitatea dentară. În ce constă și în cât timp apar rezultatele

Sensibilitatea dentară este una dintre cele mai neplăcute probleme dentare cu care ne putem confrunta, deoarece durerile pe care le simțim la nivelul dinților atunci când consumăm alimente sau lichide reci sau fierbinți ne afectează […]