Când dinții nu mai stau la locul lor: de ce uneori ortodonția e esențială înainte de o lucrare dentară

În multe cazuri, ortodonția devine o etapă foarte importantă în tratamentele dentare complexe.
  • Publicat:
  • Actualizat:

Când auzim cuvintele „medic specialist ortodont” sau „cabinet ortodontic”, primul lucru care ne vine în minte sunt aparatele dentare, folosite pentru a îndrepta dinții strâmbi și pentru a corecta zâmbetele inegale sau inestetice. Dar rolul ortodonției este mult mai complex și nu se limitează doar la aspectul estetic, ci țintește funcționalitatea întregului ansamblu oro-facial.

În multe cazuri, ortodonția devine o etapă foarte importantă în tratamentele dentare complexe, inclusiv în realizarea de proteze, punți, coroane sau implanturi dentare. Aceasta pentru că, în realitate, dinții noștri nu sunt fixați în osul maxilar ca niște piese de beton.

Ei sunt susținuți de un ligament periodontal elastic, care le permite o ușoară mișcare. Această flexibilitate este importantă pentru a absorbi șocurile masticatorii și pentru a menține sănătatea parodontală. Însă această capacitate de mișcare poate deveni o problemă atunci când un dinte este pierdut. Dinții vecini încep să migreze pentru a ocupa spațiul liber, iar în timp, acest proces poate afecta întreaga structură a danturii.

De ce este esențială ortodonția?

Migrarea dinților poate duce la o mușcătură incorectă, la suprasolicitarea altor dinți și, în cazuri severe, la pierderea altor dinți. În absența unui dinte, cei rămași nu doar că se deplasează, dar și osul în care era fixat dintele începe să se resoarbă.

Aceasta înseamnă că, în timp, spațiul lăsat liber devine tot mai dificil de folosit pentru un implant, întrucât se îngustează și devine impropriu. Totodată, dacă nu se intervine din punct de vedere ortodontic, coroanele sau punțile dentare trebuie să fie adaptate la o structură dentară dezechilibrată, ceea ce poate duce la o estetică slabă și la probleme funcționale pe termen lung.

Aici intervine medicul specialist ortodont. În multe cazuri, medicii stomatologi recomandă tratamente ortodontice înainte de a aplica lucrări dentare complexe. Pentru că doar prin alinierea corectă a dinților și refacerea unei mușcături sănătoase se poate garanta succesul pe termen lung al unei lucrări dentare.

Prin urmare, ortodonția nu este doar despre estetica zâmbetului, aceasta fiind doar un rezultat. Este despre funcționalitate și sănătate orală, care se traduc în beneficii pentru întregul organism. Dinții care nu sunt corect aliniați pot provoca probleme de masticație, tensiuni musculare și dureri articulare. În plus, o lucrare protetică aplicată pe o dantură dezechilibrată este mai predispusă la eșec. O coroană sau o punte aplicată pe dinți înclinați poate ceda, iar un implant poate fi compromis de forțe anormale. Astfel, ortodonția devine o etapă foarte importantă în pregătirea unei lucrări dentare complexe.

Cât durează un tratament ortodontic?

În ceea ce privește durata unui tratament ortodontic, aceasta variază în funcție de complexitatea sau gravitatea cazului. Astfel, tratamentul poate dura câteva luni sau chiar câțiva ani. Dar această investiție de timp asigură o bază solidă pentru o lucrare dentară complexă și durabilă. Alinierea corectă a dinților permite o distribuție echilibrată a forțelor masticatorii și o estetică naturală. Medicul ortodont și medicul stomatolog trebuie să colaboreze îndeaproape pentru a planifica tratamentul în etape și pentru a obține cele mai bune rezultate.

În niciun caz nu trebuie subestimată importanța ortodonției în tratamentele dentare complexe. Ea reprezintă fundamentul pe care se construiește o lucrare dentară stabilă, funcțională și estetică. Dacă vă gândiți la o lucrare dentară majoră, întrebați medicul despre opțiunile ortodontice și asigurați-vă că zâmbetul dumneavoastră primește cel mai bun tratament posibil.

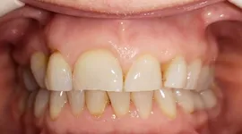
Caz pacient

Vă prezentăm cazul pacientei în vârstă de 50 ani (vezi galeria foto), care s-a prezentat în clinica de ortodonție din motive estetice. Pe lângă zâmbetul complet compromis de existența incisivului central macrodont și absența incisivului lateral din cadranul drept maxilar (geminatie 1.1 și agenezie 1.2), linia interincisiva superioară deviată către stânga față de mediană fetei și abraziunea (tocirea) incisivilor agravau și mai mult deficitul pe zona estetică.

Pacienta prezenta și denivelarea planului ocluzal (mușcătura) datorată extracțiilor din copilărie ale molarilor primi mandibulari. Neprotezarea lor la timp a condus la migrarea prin înclinare a molarilor 2 și 3 mandibulari. Acest fapt a dus la apariția unor contacte premature, nefiziologice, ce au agravat anomalia dento-maxilară existența (ocluzie adâncă acoperită), determinând abraziunea (tocirea) accentuată la nivelul tuturor dinților și suferință parodontală (rezorbții osoase, pungi parodontale).

Tratamentul a fost complex, de echipa, parodontal, ortodontic și protetic.

Tratamentul ortodontic a fost făcut cu un aparat fix, estetic, din safir. Obiectivele ortodontice au fost: nivelarea planului ocluzal prin corectarea axelor înclinate ale molarilor și premolarilor și mărirea dimensiunii verticale a etajului inferior al fetei astfel încât să se obțină spațiu vertical necesar refacerii incisivilor și caninilor la dimensiunea lor corectă.

Restaurarea protetică a incisivilor, caninilor și premolarilor superiori și inferiori a fost făcută cu fațete din Emax.

Echipa care s-a ocupat de acest caz: dr. Cristiana Pădure – medic specialst parodontolog și Dr. Eliza Popa – medic dentist.

Urmărește CSID.ro pe Google News
Alexandra Necșoiu - Redactor-șef
ALEXANDRA NECŞOIU, redactor-șef, [email protected] Este absolventă a Facultăţii de Jurnalism şi Ştiinţele Comunicării şi deţine o diplomă de master în Producţie Multimedia şi Audio-Video. Iubeşte să scrie şi nu se vede făcând altceva, acesta fiind visul ei încă de pe ...
citește mai mult
Dr. Anca Oltean - medic primar ortodont
Dr. Anca Oltean este medic primar ortodont, specializarea ortodonție și ortopedie dento-facială, cu experiență în domeniu de 25 de ani si peste 4,000 de cazuri tratate, de la cele de rutină până la cele mai complexe. Este primul medic român admis ca membru titular în cadrul WSLO (World Society ...
citește mai mult