Caninii ectopici (caninii de vampir): ce sunt, cum îi recunoști și care sunt opțiunile de tratament

Ectopiile dentare sunt relativ frecvente, dar cauzele și efectele lor pot fi complexe.

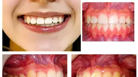
Caninii sunt acei dinți (doi pe maxilarul inferior și doi pe cel superior) a căror coroană ascuțită le oferă aparența unor colți. Rolul lor în arhitectura dentară este unul important, așa cum vom sublinia în cele ce vor urma. Caninii superiori pot fi considerați ca având rolul de pivoți ai arcadelor dentare: dau contur zâmbetului, susțin buza superioară, ghidează mișcările mandibulei și preiau o parte importantă din forțele masticatorii. Atunci când aceștia părăsesc traseul normal de erupție și apar într-o poziție anormală (palatinal – spre cerul gurii, vestibular – spre obraz), vorbim despre canini ectopici. Ectopiile dentare sunt relativ frecvente, dar cauzele și efectele lor pot fi complexe.

Cauzele și manifestările ectopiei caninilor

Așa cum am sugerat anterior, ectopic înseamnă în afara locului, în cazul dinților în afara locului natural sau normal/fiziologic de erupere. Aceasta înseamnă că dintele perforează gingia altundeva, de cele mai multe ori înspre exterior sau înspre interiorul arcului dentar (al gurii).

Ca frecvență a ectopiilor, caninii de pe maxilarul superior pot fi clasați pe locul doi într-un top a celor mai frecvenți dinți cu probabilitate de ectopie. Prevalența acestor ectopii ale caninilor este în jur de 1–2% în populația generală, cu o tendință mai mare de deplasare palatinală decât vestibulară. Această distribuție și frecvență sunt documentate în ghiduri clinice și studii de specialitate, larg citate în ortodonție.

În ceea ce privește cauzele ectopiei caninilor, unele sunt de natură ereditară, iar altele locale. Printre factorii ereditari menționăm anomalii/malformații ale dinților apropiați, în principal ale incisivilor (macrodontia, dinți supranumerari).

Printre factorii locali care contribuie la creșterea riscului de ectopie se pot număra: lipsa de spațiu (arcade înguste, migrarea dinților laterali prin pierderea precoce a molarilor temporari, cel mai adesea in lipsa tratamentelor cariilor), persistența caninilor de lapte peste vârsta normală de tranziție, traiectorii de erupție atipice care pot fi detectate clinic/radiologic, traumatisme sau sechele infecțioase în zonă (chisturi dentigere).

Înainte de erupția efectivă a caninilor, există anumite semne specifice care pot indica o ectopie. Spre exemplu, persistența unuia dintre caninii de lapte o perioadă mai mare după căderea celorlalți sau măcar a celui în oglindă; asimetrii de erupție, umflătură aproape de cerul gurii sau în partea dinspre obraz, lipsa completa sau parțială a spațiului dintre incisivul lateral si primul premolar pentru erupția si alinierea caninului.

Aceste semne pot fi evaluate acasă de către pacienți care, la cel mai mic semn de alarmă trebuie să se adreseze medicului specialist ortodont. Trebuie spus că prima evaluare este bine să aibă loc în jurul vârstei de 7 ani, adică la începutul perioadei de tranziție de la dinții de lapte la cei permanenți (6-12 ani), chiar și atunci când totul pare în regulă, deoarece medicul specialist ortodont poate surprinde devierile de traseu sau lipsa spațiului necesar alinierii caninilor cu mult înainte să devină o problemă complicată și costisitoare. Screeningul precoce include examen clinic și, de obicei, o radiografie panoramică. După vârsta de 7 ani, medicul poate să pună un diagnostic și prin palparea mugurelui caninului, care oferă indicii precoce: dacă nu se simte la timp vestibular, există risc de deplasare palatinală, spre exemplu.

Citește și: Când dinții nu mai stau la locul lor: de ce uneori ortodonția e esențială înainte de o lucrare dentară

Diagnostic și tratament ortodontic în cazurile de canini ectopici

Totodată, există o cutumă, conform căreia trebuie să lăsăm dinții să erupă liniștiți, pentru că vom trata eventualele probleme apărute după. Cu toate acestea, dincolo de aspectul estetic neplăcut, caninii ectopici pot cauza în unele cazuri o resorbție a rădăcinii incisivilor, mai ales a celor laterali, iar in cazuri mai severe pot fi afectați si rădăcinile incisivilor centrali), uneori fără simptome până la stadii avansate. Unele studii, bazate pe examene CBCT au raportat afectări relevante clinic ale rădăcinilor incisivilor vecini în procente deloc neglijabile în prezența caninilor deplasați, cu prevalențe mai ridicate când poziția este palatinală. Ectopia caninilor mai poate cauza apariția chisturilor foliculare, durere, infecție, migrarea dinților alăturați, resorbție osoasă și retragerea gingiilor. Diagnosticarea completă și clară a caninilor ectopici se face în urma investigațiilor clinice: radiografie panoramică (aceasta oferă o imagine de ansamblu a întregii danturi) sau examinare CBCT (tomografie cu fascicul conic), în cazurile complexe, care permite specialistului să observe tridimensional relația cu rădăcinile incisivilor (suspiciune de resorbție), anatomia foliculară sau poziții complexe (verticalizare mare, transpoziții, proximitate cu sinusul).

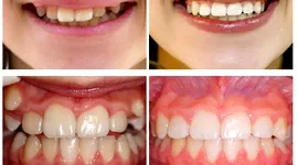
Urmare diagnosticului, medicul specialist ortodont stabilește tratamentul de urmat, care poate depinde de vârsta pacientului, severitatea ectopiei, spațiul disponibil pe arcada dentară, poziția caninului, dar și de așteptările pacientului. Dacă tratamentul este aplicat în perioada dentiției mixte (6-12 ani), el poate fi considerat cu caracter interceptiv și presupune extracția caninului de lapte afectat, dar și a celui bilateral (poate crește șansa ca dintele permanent să-și corecteze singur traiectoria în 6–12 luni, după unele studii), combinată cu crearea de spațiu (expansiune transversală, distalizarea segmentelor, stripping limitat) dacă arcada este înghesuită. În tratamentul interceptiv se recomandă monitorizarea situației la câteva luni prin control clinic și radiologic. Atunci când caninul nu erupe singur, iar diagnosticul inițial arată o poziție nefavorabilă, abordarea este diferită, care presupune proceduri specifice tratamentelor ortodontice, inclusiv montarea aparatelor dentare, în cele mai multe cazuri a celor fixe, urmate de cele de contenție, pentru menținerea rezultatelor o perioadă mai mare de timp și evitarea posibilelor recidive.

Tratamentul ortodontic fără extracții dentare reprezintă o prioritate pentru majoritatea specialiștilor moderni, atunci când situația clinică o permite. Prin tehnici de expansiune alveolară, distalizare, îndreptare a axelor dentare și optimizare a spațiului, se pot obține aliniamente corecte fără a sacrifica dinți sănătoși. Scopul este conservarea integrității dentare, menținerea echilibrului facial și obținerea unui zâmbet natural și funcțional. Planul de tratament personalizat, bazat pe o analiză atentă tridimensională și o evaluare funcțională completă, permite obținerea rezultatelor dorite fără compromisuri structurale. Tratamentele ortodontice aplicabile în cazul caninilor ectopici pot dura, în funcție de complexitatea cazului, în medie, între unul și trei ani. Disconfortul inițial creat de montarea aparatelor dentare este gestionabil, de asemenea și cel creat de ajustarea acestora. Riscul de recidivă este scăzut, mai ales în cazul unor proceduri de contenție bine aplicate. Foarte importantă pe toată durata tratamentului, dar și după, este igiena dentară strictă. Normele acesteia sunt comunicate de către medicul specialist ortodont pacientului și sunt obligatorii de urmat pentru asigurarea celor mai bune rezultate.

În concluzie, ectopia caninilor nu este o problemă imposibil de adresat, dar nici una banală, fără importanță. Depistarea timpurie a unei astfel de anomalii, diagnosticul corect și planul de tratament personalizat fac diferența între un parcurs favorabil și unul complicat. De aceea este importantă opinia medicului specialist ortodont în astfel de cazuri și examinarea pacientului în cabinetul ortodontic.

Urmărește CSID.ro pe Google News
Alexandra Necșoiu - Redactor-șef
ALEXANDRA NECŞOIU, redactor-șef, [email protected] Este absolventă a Facultăţii de Jurnalism şi Ştiinţele Comunicării şi deţine o diplomă de master în Producţie Multimedia şi Audio-Video. Iubeşte să scrie şi nu se vede făcând altceva, acesta fiind visul ei încă de pe ...
citește mai mult
Dr. Anca Oltean - medic primar ortodont
Dr. Anca Oltean este medic primar ortodont, specializarea ortodonție și ortopedie dento-facială, cu experiență în domeniu de 25 de ani si peste 4,000 de cazuri tratate, de la cele de rutină până la cele mai complexe. Este primul medic român admis ca membru titular în cadrul WSLO (World Society ...
citește mai mult